- Cittadini
- Fascicolo Sanitario Elettronico
- App Salute Marche
- App screening oncologici
- Banca degli Occhi
- Bollini Rosa
- Carta dei Servizi
- Centro Diagnosi Prenatale di II livello
- Comitati di Partecipazione
- Commissione Medica Locale AST Ancona
- Continuità Assistenziale
- Contributi Economici AST Ancona
- Contributo Acquisto Sostituti Latte Materno
- Emergenza Urgenza
- Farmacie
- Guida ai Servizi
- Indennizzo da vaccinazioni obbligatorie, trasfusione e somministrazione di emoderivati (l. n 210/92 e smi)
- Libera professione
- Liste d'attesa
- Medici e Pediatri di famiglia
- Modulistica
- Pagamento delle prestazioni
- Pazienti oncologici
- Portale Ascolto
- Prenotazioni e disdette
- Programmi di Prevenzione
- Referti Online
- Servizio Civile Universale
- Servizio di odontoiatria per persone fragili
- Tessera Sanitaria
- Videopillole utili
- Archivio Covid
Diagnosi e trattamento tumori benigni e maligni del cavo orale
Il paziente al quale viene clinicamente evidenziata una lesione sospetta del cavo orale viene sottoposto in tempi brevi a prelievo bioptico ed esame istopatologico per una certezza diagnostica. In casi di conferma di patologia tumorale, a seconda della gravità , sarà trattato chirurgicamente in anestesia generale presso i nosocomi di Jesi o Fabriano oppure inviato attraverso canali preferenziali presso un centro di riferimento di chirurgia maxillo-facciale.
![]() | ![]() |
Sedazione superficiale - Sedazione profonda - Narcosi
Tutti i pazienti con fragilità clinica, sia per il loro complesso stato morboso o per malattie gravemente invalidanti, per essere trattati sia da un punto di vista sia odontoiatrico che di chirurgia orale necessitano di differenti tipologie anestesiologiche in rapporto al loro diverso grado di collaborazione o alla eventuale necessità di un monitoraggio costante e continuo dei parametri vitali. Per questo motivo la rete nosocomiale dell'odontostomatologia e chiurgia orale AV2 mette a disposizione ,a seconda delle problematiche, un tipo di sedazione direttamente sulla poltrona odontoiatrica con anestetici loco regionali, una eventuale con protossido di azoto per i bambini o pazienti poco collaboranti , fino alla sedazione profonda anestesiologica o vera e propria narcosi (anestesia generale) da effettuarsi in sala operatoria con anestesista di supporto e con monitoraggio contino dei parametri fisiologici per poter minimizzare eventuali complicanze ed eventi avversi in rapporto alla patologia sistemica di base(cardiopatie , coagulopatie , pazienti oncologici , nefropatici.....).
![]() | ![]() | ![]() | ![]() |
Presa in carico pazienti con disabilità neurosensoriali/motorie o con gravi comorbilità
Per poter sottoporre a terapia odontoiatrica/chirurgica pazienti con gravi malattie e/ o comorbilità (la presenza di piu' patologie contemporaneamente) o pazienti con deficit neurosensoriali o motori che hanno necessariamente difficoltà di spostamento e di rapportarsi con la necessità burocratica , bisogna "prendere in carico " il paziente attraverso percorsi facilitanti sia logistici che di natura amministrativa oltre che per il paziente anche per i familiari/accompagnatori, ma soprattutto organizzare per loro, internamente allo stesso nosocomoio , visite multidiscilpinari in tempi brevi con altri specialisti che possano contribuire al benessere ed al trattamento del paziente.
![]() | ![]() |
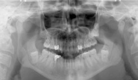
Chirurgia Oro-Mascellare per riabilitazioni protesiche post oncologiche
I pazienti che per motivi oncologici o per esito di osteonecrosi per uso di farmaci della categoria bifosfonati (in uso nelle gravi forme di osteoporosi o nel trattamento coadiuvante delle metastasi ossee)hanno subito gravi demolizioni dei mascellari e conseguente perdita della funzionalità masticatoria necessitano di ricostruzione e rifunzionalizzazione dell'apparato masticatorio con ricostruzione dell'osso mandibolare o del mascellare superiore attraverso innesti di osso , di lembi mucosi e/o muscolari di vicinanza ed a volte di implantologia preprotesica con impianti zigomatici , pterigoidei o convenzionali , tutto cio'con il fine di ripristinare una corretta funzione ma anche una auspicabile vita di relazione.
![]() | ![]() | ![]() | ![]() |
![]() | ![]() | ![]() |
Estrazione elementi dentari inclusi/disodontiasi
Non sempre la chirurgia orale , preposta alla estrazione del terzo molare(o dente del giudizio) è tecnicamente di facile esecuzione e puo' essere praticata in un convenzionale ambuatorio odontoiatrico perchè la difficoltà di estrazione chirurgica è in rapporto sia alla posizione del dente ritenuto nell'osso ma anche in rapporto alla vicinanza con il canale contenente il nervo mandibolare.
Nei nostri nosocomi viene attentamente valutato caso per caso e dopo attento e scrupoloso approfondimento diagnostico (OPT - TC - TC Cone Beam), a seconda della complessità estrattiva , organizzata la seduta operatoria che puo' essere eseguita ambulatorialmente in regime di day surgery(il paziente viene ricoverato al mattino e dimesso il giorno stesso) o nei casi piu' complessi in sala operatoria con anestesia generale e supporto anestesiologico.
![]() | ![]() |
Correzione malformazioni cranio-facciali in età evolutiva ed adulta
Le alterazioni dello sviluppo dello scheletro facciale e delle ossa mascellari , di origina familiare o congenita , si caratterizzano anche con gravi modificazioni dell'occlusione con conseguenti problematiche funzionali ed estetiche. A questo proposito è molto importante intercettare la patologia di accrescimento osseo nell'età prepuberale ed eventualmente eseguire una terapia ortodontica dapprima intercettiva (per provare a risolvere le alterazioni dello sviluppo scheletro facciale) e successivamente di preparazione per l'eventuale intervento chirurgico ortognatico che si prefigge il compito di riposizionare il mascellare superiore e/o la mandibola nel rapporto spaziale anatomicamente corretto, con conseguente riallineamento masticatorio , funzionale ed estetico.
![]() | ![]() | ![]() | ![]() |
![]() | ![]() | ![]() | ![]() |
Patologie A.T.M.
L'articolazione temporo mandibolare (ATM) è un'articolazione molto complessa e la sua patologia, causata da disfunzioni muscolari cinetiche (del movimento masticatorio) puo' interessare sia la componente ligamentosa/meniscale (lussazione, sublussazione , incoordinazione meniscale , lassità ligamentosa) , che la componente ossea(artriti , artrosi ). L'ATM è al centro di un complesso sistema che coinvolge ossa-muscolo e denti e quindi una sua patologia pu' determinare ripercussioni molto importanti ed invalidanti di piu' apparati . Per i motivi sopra citati è molto importante diagnosticare precocemente e con estrema accuratezza specialistica (esame gnatologico) i disturbi e le disfunzioni neuro-muscolari dell'atm che molto spesso necessitano di un approccio multidisciplinare (reumatologo, neurologo, fisioterapista...). Nei nostri centri è disponibile la figura dello gnatologo atto alla diagnosi e alla eventuale terapia di queste patologie .
![]() | ![]() | ![]() |
Diagnosi e terapia sindromi da apnee ostruttive notturne (Osas)
E' una patologia che sta diventando una vera e propria piaga sociale in quanto da statistiche potrebbe essere causa di circa il 20% degli incidenti automobilistici e che quindi coinvolge anche molti lavoratori nel settore dei trasporti.
I pazienti ,non potendo avere un sonno sufficiente e regolare per motivi anatomici e disfunzionali delle prime vie aeree, vanno incontro durante le ore diurne a narcolessie (addormentamento improvviso e scarsa lucidità nei riflessi) ed a frequenti cali di attenzione senza contare che le apnee che avvengono durante la notte (arresto del sistema respiratorio momentaneo ma ripetuto) possono essere concausa di malattie cardio vascolari e ictus.
Nella nostra rete ospedaliera esiste un protocollo diagnostico e terapeutico che coinvolge la figura del medico del sonno (OtorinoLaringoiatra), dello pneumologo ,del cardiologo , del neurologo e non per ultimo in ordine di importanza dell'odontostomatologo il quale , nelle forme lievi o moderate , puo' approntare dispositivi funzionali (apparecchi orali) che spostando in avanti la mandibola possono migliorare o risolvere questa problematica disfunzionale ed il russamento notturno.
![]() | ![]() |
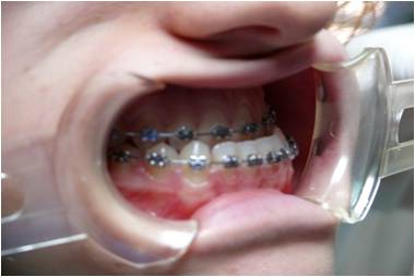
Ortodonzia pubblica
Il trattamento ortodontico è suddivisibile in Ortodonzia intercettiva e dell'età adulta in base al grado di sviluppo scheletrico del paziente.
La terapia intercettiva ha lo scopo di correggere disarmonie di natura prevalentemente scheletrica che, se non trattate tempestivamente, possono evolvere ed aggravarsi nel corso del tempo. I dispositivi ortodontici possono essere di tipo rimovibile o fisso in base alle singole fasi terapeutiche.
Nel caso in cui le problematiche scheletriche non dovessero essere state intercettate durante le fasi di crescita il paziente necessita di trattamento ortodontico-chirurgico atto alla correzione completa dei difetti sia scheletrici che dentali.
Presso i nostri centri è disponibile il servizio specialistico di ortodonzia pubblica rivolto a pazienti in che presentano gravi dismorfie osse che vanno trattati con terapia intercettiva prima o con terapia ortodontico-chirurgica poi.
![]() | ![]() |
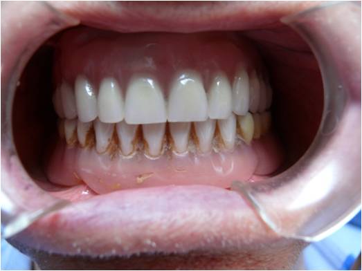
Protesi Sociale
I pazienti parzialmente o completamente edentuli presentano importanti deficit masticatori , fonatori ed estetici .
Presso le nostre sedi è possibile trattare tali casi attraverso l'installazione di protesi rimovibili che ripristinino le arcate dentarie consentendo al soggetto una corretta funzione masticatoria ed una normale vita di relazione.
Nei casi in cui il paziente abbia subìto , per motivi oncologici o chirurgici in generale , una massiva demolizione delle strutture mascellari è disponibile un servizio dedicato di terapia implantoprotesica allo scopo di ristabilire le adeguate funzioni cui il cavo orale è predisposto cercando di limitare il piu' possibile i deficit sopraggiunti.
![]() | ![]() |
Odontoiatria Materno-Infantile
Il servizio di Odontoiatria Materno-Infantile si propone di dare risposte e di fornire un accompagnamento assistenziale odontoiatrico alla mamma per tutto il periodo di gestazione e al bambino fino all’età scolare ed oltre. Si propone inoltre di fornire tutte le risposte necessarie ai molti dubbi che possono sorgere a una gestante: se sia possibile sottoporsi a cure odontoiatriche in gravidanza; quali farmaci si possono assumere; quando iniziare a portare il bambino dal dentista; a che età bisogna iniziare a lavargli i dentini…
Il progetto punta a sottolineare l’importanza per la futura mamma di sottoporsi a visita odontoiatrica ancora prima che la gravidanza abbia inizio e, durante la gestazione, si consiglia una visita a trimestre per avere indicazioni, consigli e prescrizioni individualizzate.
Sarà inoltre attivato uno screening scolastico per la prevenzione della patologia orale e per la promozione di un corretto stile di vita (educazione alimentare, educazione all’igiene orale, riconoscimento dei fattori di rischio) in età scolare garantendo così una continuità del progetto per tutta la durata dell’età evolutiva.
- Ospedale Carlo Urbani di Jesi: mercoledì dalle ore 15 alle ore 16, tel 0731.534102.
- Ospedale Engles Profili di Fabriano: martedì dalle ore 12 alle ore 13, tel 0732.707850.
- Ospedale Principe di Piemonte di Senigallia: martedì dalle ore 15 alle ore 16, tel 071.79092381.
- Ospedale Santa Casa di Loreto: lunedì dalle ore 10 alle ore 11, tel 071.7509241.


































